当院のマウスピース矯正について
まずはこちらの動画をご覧ください
矯正治療について、
こんな"お悩み"や"不安"は
ありませんか?
- 矯正治療しているのを人に気付かれたくない
- 矯正すると食事するのが辛そう
- 矯正は痛みがありそうで不安
- 歯に器具をつけるとむし歯が心配
- 矯正中しゃべりにくそう
- 忙しいのでなかなか通えない
- 金属アレルギーが心配
- 本当に治るのか不安
- 費用がどれぐらいかかるのか分からず不安
このような事でお悩みの方は
マウスピース矯正が
是非オススメです!
マウスピース矯正(インビザライン)とは
透明なマウスピースを自宅で3〜10日ごとに取り換えて、自分で歯並びを治す方法です。
- 歯並びを治したいけど、歯に固定する装置を使いたくない!
- 人に矯正治療をしていることを仕事柄知られたくない!
- なんとかあのような矯正装置をつけなくても歯並びをきれいにする方法はないのかなぁ~
このような方におススメなのがマウスピース矯正(インビザライン)です。
透明なマウスピース矯正(インビザライン)の特徴

透明な材質で薄さ0.5mmで目立たない、話すときも邪魔にならない
誰にもばれずに矯正できる。恥ずかしくない、話す仕事の方も支障なし。
食事の時など装置の取り外しができるので衛生的で快適
食べ物が挟まる不快感がない、口の中を清潔に保てるのでむし歯の心配がない。
口の中を傷つけず、快適な着け心地
血が出たり、口内炎ができたりのトラブルがありません
自宅で装置を交換できる
少ない来院回数でも治療できるので、忙しい人でもOK
金属アレルギーの方でも問題なし
アレルギーを気にせず矯正できる
コンピューターで解析して、シュミレーションできる
どのようにして治るかを事前にイメージできる
短期間で治ります!
部分矯正治療期間 1〜6ヵ月 44〜55万円
※24回払いの場合月々1.9万円〜
全体矯正
治療期間 6〜12ヵ月 77〜99万円
※24回払いの場合月々3.4万円〜

世界が認めた新しい矯正装置
世界80国以上で340万人を超える人たちが治療を受けています当院では世界シェアNo1のインビザライン社(http://www.invisalign.co.jp/)と提携して治療を行っています。
はなだ歯科クリニックの
透明なマウスピース矯正(インビザライン)
選ばれる6つの理由
完全オーダーメイドのマウスピース矯正
「インビザライン」のプラチナエリートに認定
世界で最も症例数の多いインビザライン社と提携して治療を行っています。
世界80国以上で340万人を超える人たちが治療を受けています。
当院は治療実績が認められ、2020年にプラチナエリートに認定されました。
プラチナエリートは全国に約6%しかいないと言われています。

すべての治療計画は矯正治療の経験豊富な花田真也理事長が監修しています
インビザライン治療はどの医院で受けても同じではありません。
治療計画や仕上がりは歯科医師の技術や経験によって全く違うものになります。
歯の移動の進め方によっては、コンピューターのシュミレーション通り動かず、思った通りに治らないこともあります。
また、思った通りの仕上がりにならないこともあります。
矯正治療の技術と経験豊富な花田真也理事長がすべての治療計画を監修していますので、ご安心下さい。

「透明で目立たない」「取り外し可能」「痛みが少ない」 生活制限がありません!
自由に取り外しができて目立たない「マウスピース矯正」
手軽に矯正治療が行えます。

矯正治療をあきらめていた方も、手軽にマウスピース矯正できます
当院では、ワイヤー矯正とマウスピース矯正の両方を行っており、ワイヤー矯正が難しい方には、マウスピース矯正を選んで頂いております。
今までワイヤー矯正のために、見た目と違和感で矯正治療をあきらめていた方も、マウスピース矯正なら受けられると言う患者さんもたくさんいらっしゃいます。

短期間で治ります!
- 部分矯正
- 治療期間:1〜6ヵ月
費用:44〜55万円
※24回払いの場合 月々1.9万円〜 - 全体矯正
- 治療期間:6〜12ヵ月
費用:77〜99万円
※24回払いの場合 月々3.4万円〜

矯正治療と同時にホワイトニングができて、一層キレイに!
マウスピース矯正の装置を利用して、同時にホワイトニングをすることができ、きれいな歯並びと白い美しい歯を手に入れられます。

院長 花田 真也のご紹介
医療法人 はなだ歯科クリニック
院長 花田 真也
日本床矯正研究会 理事長
国際審美学会 / ICOI 国際インプラント学会 指導医
- 1995年
- 広島大学歯学部卒業
- 2000年
- はなだ歯科クリニック開設
- 2015年
- インビザラインドクター認定
- 2020年
- 日本床矯正研究会 理事長就任
インビザラインプラチナドクター認定
国際審美学会 / ICOI 国際インプラント学会 指導医

今まで矯正治療をあきらめていた方へ
皆さま、こんにちは。
医療法人はなだ歯科クリニック 院長の花田真也です。
日本人は諸外国に比べて歯並びの悪い人が多いと言われています。
しかし、矯正治療は「期間が長い」、「装置が目立つのが嫌」などの理由で、 多くの方が治療をあきらめています。
そのような方々の歯並びも治してあげたいという想いから、 「マウスピース矯正」を行っています。
マウスピース矯正は0.5mmの薄くて透明な材質なので、 まったく目立つことがなく、痛みもありません。
現在、多くの患者さんに矯正治療を受けて頂くことができるようになり、大変喜ばれています。
矯正治療をあきらめていた方、ぜひご相談下さい!
矯正相談、AIによる簡易診断は
無料となっております。
マウスピース矯正は透明の取り外し式装置なので、様々なシーンでも使われています。
「結婚式の日は取外します!」
「接客業だから人前でも目立たないので助かります!」 など・・・
マウスピース矯正は、どの医院も同じではありません。
他の医院で無理だと言われてもご相談してみて下さい。
骨格性の歯列不正でなければ治療可能なことが多いです。
矯正相談、AIによる簡易診断は無料となっております。
お気軽にご相談下さい。
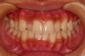
マウスピース矯正の症例
Before
治療前の状態:上の前歯にガタツキがあります。
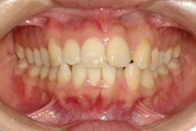
After
治療後の状態:前歯がきれいになりました。
- 治療の説明
- 2週間おきにマウスピースを交換していきます。 マウスピースは毎日22時間以上装着して頂きます。 月に1回程度来院して頂き、矯正の進行状況を確認します。
- リスク
- マウスピース矯正は、マウスピースを着けていないと歯が動かないため、決められた時間は必ず装置を装着して頂く必要があります。
- 治療期間
- 1年
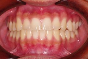
Before
治療前:上下ともガタツキがあります。
After
治療後:上下ともきれいに並びました
- 治療の説明
- 1週間おきにマウスピースを交換していきます。
マウスピースは毎日22時間以上装着して頂きます。
1~2ヵ月に1回程度来院して頂き、矯正の進行状況を確認します。 - リスク
- マウスピース矯正は、マウスピースを着けていないと歯が動かないため、決められた時間は必ず装置を装着して頂く必要があります。
- 治療期間
- 1年~3年
費用・料金の目安
インビザライン
部分矯正
- 治療期間
- 1〜6ヵ月
- 費用
- 44〜55万円
※24回払いの場合 月々1.9万円〜
全体矯正
- 治療期間
- 6〜12ヵ月
- 費用
- 77〜99万円
※24回払いの場合 月々3.4万円〜
当院のマウスピース矯正は医療費控除の対象となります
(美容外科などはなりませんが、マウスピース矯正は治療として受けることが可能です)
※年収によって 100,000円~200,000円程度、控除されます。
マウスピース矯正(インビザライン)治療の流れ
事前にお電話で予約時間をおとり下さい。
来院の際は、保険証と診察券をお持ち下さい。
充分な時間をとって専門スタッフがお話をお伺いします。
当院では、医院隣に、小さなお子さん向けの保育施設「Kids garden ル・タンデ」を併設しております。
お母さまの治療中はお子さんをお預かり致しますので安心して診療頂けます。
まず、歯周病があると矯正治療はできませんので、レントゲン撮影と歯周病の診査を行います。
その後、口内スキャンと写真撮影を行い、AIによろ簡易診断(無料)を行います。
AI簡易診断では治療前と治療後の歯列をコンピューターでのシュミレーションで見て頂けます。
精密診断の結果、治療計画をコンピューターのシュミレーションを動画でお見せします。
診療費や治療期間についても詳しくお話しさせて頂きます。
この場で矯正治療をするかの決定をする必要はございません。
一旦ご自宅でじっくりとお考え頂きご検討頂くことも可能です。
私たちは、患者さんのお気持ちを第一に考えます。
アメリカのインビザライン社から送られてきた、マウスピースをお渡しします。
マウスピースの使用方法や注意点を詳しく説明します。
その後は1-2ヵ月おきに通院して頂きます。
よくある質問
-
Qマウスピース矯正の装置は目立ちますか?A
0.5mmの透明なマウスピースを使用しますので、他の人に気付かれることは、ほぼありません。
-
Q出っ歯でもマウスピース矯正はできますか?A
マウスピース矯正はインビザライン社のコンピューターソフトで治療のシュミレーションを行うことができます。
骨格に問題がなければ、どのような症例でもほぼ対応可能です。
-
Qすきっ歯はマウスピース矯正できますか?A
マウスピース矯正はインビザライン社のコンピューターソフトで治療のシュミレーションを行うことができます。
骨格に問題がなければ、どのような症例でもほぼ対応可能です。
-
Q受け口はマウスピース矯正できますか?A
マウスピース矯正はインビザライン社のコンピューターソフトで治療のシュミレーションを行うことができます。
骨格に問題がなければ、どのような症例でもほぼ対応可能です。
-
Q以前矯正をしたのですが、ガタガタが出てきました。
マウスピース矯正で治療できますか?Aマウスピース矯正の得意なところです。
簡単に治療できることが多いです。 -
Q子供でもマウスピース矯正はできますか?A
お子さんの場合は歯の生え変わりや成長がありますので、床矯正をお勧めします。
-
Qマウスピース矯正中は食べれないものはありますか?A
食事中はマウスピースを外すので、とくに制限はありません。
なんでも食べられます。 -
Qマウスピースを装着すると話しにくいですか?A
0.5mmの薄さで歯だけを覆いますので、話しにくいと言われる方はあまりいらっしゃいません。
どうしても話しにくい場合は外すこともできます。 -
Qマウスピース矯正に痛みはありますか?A
マウスピースを交換して数時間は圧迫感を感じることがありますが、強い痛みを感じることはまずありません。
-
Q治療費の分割払いはできますか?A
カード払いやデンタルローンでのお支払いが可能です。
当院の受付にご相談下さい。
未成年の方は保護者にご契約して頂きます。
はなだ歯科クリニック
- 医院名
- 医療法人 はなだ歯科クリニック
- 医院長
- 花田 真也(はなだ しんや)
- 住所
- 〒816-0943
福岡県大野城市白木原1丁目17-4 サンリヤン 大野城 駅前 Ⅳ 番館 1F - 電話番号
- TEL.092-915-4180
- 交通アクセス
- JR鹿児島本線 大野城駅 東口ロータリー内
西鉄大牟田線白木原駅より徒歩6分
| 月 | 火 | 水 | 木 | 金 | 土 | 日 | |
|---|---|---|---|---|---|---|---|
| 9:30~12:30 | ● | ● | ● | ● | ● | ※ | / |
| 14:30~18:00 | ● | ● | ● | ● | ● | ※ | / |
休診日・・・日曜・祝日
★平日16:30以降のご予約は小児のみ
お問い合わせ
マウスピース矯正についてのご予約・ご相談は、お電話にてお気軽にお問い合わせください
WEB予約は仮予約になります。
予約申込後、当院からの確認メールをもって予約確約となりますのでご了承ください。
託児をご利用の方はその際にその旨お伝えください。


